漏斗胸與雞胸的治療

乳房整形達人人工義乳或自體脂肪豐胸

漏斗胸與雞胸的治療

作者:首席醫師

         凹凸不平的胸,漏斗胸還是雞胸?     

                  首席醫師   

 胸骨發育不正常, 絕大多數是先天性的肋骨發育異常︰胸壁部兩側由肋骨左右圈圍而成,當肋骨生長過長,對肋骨及胸骨交接處的肋軟骨發生擠壓現象,導致前胸骨不是突出就是凹下,而突出就是所謂的雞胸,凹下就是凹胸或漏斗胸。

  漏斗胸為最常見的先天胸壁畸型,此漏斗胸由外表判斷,可小至放置一個網球而不會掉落地面,可大至兩乳之間皆凹陷,嚴重影響心肺功能。由於胸肋骨的畸型,而造成胸骨向脊椎方向凹陷,甚至最嚴重的畸型是胸骨與脊椎骨相當靠近,造成原先位在兩者之間的心臟被推向左邊,肺部的擴張空間變小,甚至會影響心肺功能,而被壓迫的心臟及肺部的位置及形狀,可由電腦斷層掃描明顯診斷之。

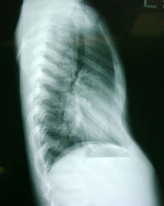
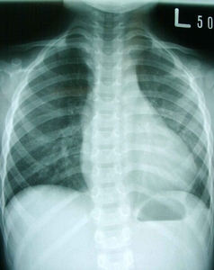
術前X光照片

 

術前照片

 

術後結果

漏斗胸的治療方式為外科矯正,需要矯正的情況包括嚴重的外觀障礙,如深斗狀凹陷,以及心肺功能的異常等。手術年齡以學齡前3~6歲時最好。目前以創新的手術矯正,可使傷口更小,更符合美顴上的需求。
 
  手術後除一般性治療外,因有約2~3%的機率復發,須積極進行相關復健活動,若在術後注意營養及局部健胸的運動,復發的機率即可大幅降低。 

 

                                                                    

  

洽談諮詢